- 矯正治療は大人になってからでも
始められます - 歯並びでお悩みではありませんか?
- 当院の成人矯正の特徴
- 成人矯正のメリット・デメリット
- 成人矯正の治療期間はどのくらい
かかるのか - 当院の成人矯正で使用する
主な矯正装置 - 成人矯正の料金
- 成人矯正(ワイヤー矯正)の症例
矯正治療は大人になってから
でも始められます
矯正治療というと、「子どもがするもの」というイメージがあるかもしれませんが、大人になってからでも受けられる治療です。特に近年は、見た目の改善だけでなく、噛む・飲み込む・話すといった機能を高めたり、虫歯・歯周病のリスクが抑えられることから、成人矯正を希望される方が増えています。
歯並びが気になる、お口の機能を向上させたい、虫歯・歯周病を予防してお口の健康を守りたいという方は、ぜひ一度当院にご相談ください。
歯並びでお悩みでは
ありませんか?
歯並びの乱れには、さまざまな種類があります。
- 上の歯が前に出ている、出っ歯が気になる(上顎前突)
- 下の歯が前に出ている、受け口が気になる(下顎前突)
- 歯と歯の間が広い、すきっ歯が気になる(空隙歯列)
- 歯列がガタガタになっている、八重歯が気になる(叢生)
- 噛み合わせが深い、噛み合わせた時に下の歯が見えない(過蓋咬合)
- 噛み合わせた時、上の前歯と下の前歯のあいだに空間がある(開咬)
- 歯列の途中で、上下の噛み合わせが逆になっている(交叉咬合)
当院の成人矯正の特徴
矯正治療をお考えの方へ
無料相談を実施
多くの方にとって、矯正治療は「初めて受ける治療」です。また、費用も安くなく、治療期間も長めです。当院では、矯正治療について正しく知っていただき、歯科医院選びの参考にしていただくための相談を行っております。
その場で治療を始めるかどうかを決めていただく必要はありませんので、どうぞお気軽にご相談ください。
精密な検査をもとに治療計画を立案
噛み合わせのチェック、型取り、レントゲンやセファログラム(頭部X線規格写真)を用いた精密な検査をもとに、患者様お一人おひとりに合った治療計画を立案します。目標を定め、道筋をつけることで、患者様はより安心して治療に臨んでいただけます。
長年矯正治療に携わってきた医師による治療
矯正治療は、長く矯正歯科を専門としてきた副院長が担当します。「きれいな歯並び」がどれだけ健康とQOLを向上させるのかを知っているからこそ、すべての患者様を全力でサポートします。豊富な経験と知識を活かし、審美性と機能性を両立した歯並びを目指します。
成人矯正の
メリット・デメリット
改めて、成人矯正のメリット・デメリットについてご説明します。
メリット
見た目が良くなり、自信を持てる
きれいな歯並びは、健康や清潔といったイメージをもたらし、患者様の自信となります。歯を見せて話せる・笑えるというだけでなく、仕事やプライベートでも自信を持って行動できるようになったというお声を、数多くいただいております。
虫歯・歯周病のリスクを下げられる
噛み合わせが良くなること、食べ物が詰まりにくいこと、歯磨きがしやすいことなどから、虫歯・歯周病のリスクが抑えられます。
全身の健康にも良い影響を与える
よく噛めるようになることから、胃腸の負担軽減、栄養吸収のアップ、腸内フローラの改善といったように、全身の健康にも良い影響が広がります。
治療の見通しがつきやすい
小児矯正には、顎の発達、生え替わりといった不確定要素があります。一方の成人矯正では、不確定要素がほとんどないことから、変わらない環境の中で、シンプルに歯を動かす治療ができます。これにより、どのくらいの期間で治療が終わるか、どのような歯並びになるかといった見通しがつきやすくなります。
デメリット
痛みがある
歯を動かす治療ですので、まったくの無痛ではありません。特に治療開始直後、調整直後(インビザラインの場合は交換直後)は、数日ほど痛みを感じやすくなります。ただ、さまざまな工夫によって痛みを抑えることは可能なので、過度に心配する必要はありません。
また、インビザラインであれば、ワイヤー矯正よりも痛みが抑えられます。
治療中の装置の目立ちやすさ
特にワイヤー矯正の場合、装置が目立ちます。近年は矯正治療の重要性が再認識され、むしろ好意的に見られるケースも増えていますが、やはりご自身で気になるようでしたら、目立ちにくいインビザラインをおすすめします。インビザラインは薄く透明なマウスピース型の矯正装置ですので、近くで見てもほとんど目立ちません。
治療期間中の虫歯・歯周病リスク
ワイヤー矯正の場合、食べ物が詰まりやすい・磨きづらいことから、治療期間中の虫歯・歯周病には十分に注意しなければなりません。インビザラインの治療中も注意が必要であることには変わりありませんが、食事・歯磨きの際には取り外せますので、リスクは比較的小さくなります。
治療期間中は、ご来院の際の歯磨き指導、定期的なクリーニングによって、虫歯・歯周病の予防を図ります。
歯肉退縮・歯根吸収のリスク
早く動かそうと歯に強い力をかけると、歯茎が下がる「歯肉退縮」、歯の根が吸収される「歯根吸収」が起こることがあります。当院では、事前の入念なシミュレーションと、慎重な経過観察によって、これらのリスクを最小限に抑えられるよう努めています。
成人矯正の治療期間は
どのくらいかかるのか
成人矯正の治療期間は、1年~2年半が目安となります。症例によっては、これより短くなる、長くなるということもあります。
事前におおよその治療期間をお伝えしますので、どうぞ安心してご相談ください。
なお、治療終了後も、歯の後戻りを防ぐため、リテーナーという装置を装着する保定期間が必要です。保定期間は、治療期間と同程度、必要になります。
当院の成人矯正で使用する
主な矯正装置
ワイヤー矯正
歯の外側にブラケットを取り付け、そこにワイヤーを通し、ワイヤーの力で歯を動かす矯正方法です。ご自身で取り外すことはできません。
ほぼすべての症例に対応できる万能型の装置であり、実績も十分です。やや痛みが出やすい・装置が目立つ・食事や歯磨きの際に邪魔に感じるといったデメリットもあります。
ワイヤー矯正の種類
金属のブラケット+金属のワイヤー
スタンダードなタイプです。
透明のブラケット+金属のワイヤー
樹脂製の透明なブラケットを使用します。これだけでも、ずいぶんと目立ちにくくなります。
透明のブラケット+白いワイヤー
透明なブラケットと、白いワイヤーを使用した、もっとも目立ちにくいタイプです。
インビザライン

薄く透明なマウスピースを1〜2週間ごとに交換し、歯を少しずつ動かしていく矯正治療を「マウスピース矯正」と言います。
当院では、世界シェアNo.1を誇るマウスピース矯正システム「インビザライン」を導入しています。
装置がほとんど目立たず、周囲に気づかれにくいことから、インビザラインは長年にわたって高い人気を維持しています。さらに、痛みが比較的少なく、治療中の虫歯や歯周病のリスクも抑えられるなど、多くのメリットがあります。食事や歯磨きの際に取り外せる点も、ワイヤー矯正に比べてストレスの少ない特徴です。
当院の院長は、矯正治療において20年以上のキャリアを持ち、インビザラインについても日本で導入が始まった当初から積極的に取り入れてきました。
抜歯が必要な症例に対しても、インビザラインでの治療が可能です。実際に、これまで多くの難症例にも対応してきた実績があります。
なお、インビザラインは1日20時間以上の装着が必要です。このルールを守れない場合は、効果的な治療が難しくなるため、おすすめできないこともございます。
ただし、「どうしてもインビザラインで治療したい」といったご希望がある方には、個別のご相談も承っております。適応可能かどうかを含めて一度ご来院のうえ、お気軽にご相談ください。
成人矯正の料金
検査・診断料
| 相談料 | 無料 |
|---|---|
| 検査料 | 33,000円 |
| 診断料 | 33,000円 |
矯正費用
| 相談料 | 無料 |
|---|---|
| 部分矯正 | 165,000円~ |
| ワイヤー矯正 | 770,000円~1,430,000円 |
| インビザライン | 770,000円~1,100,000円 |
調整料
| ワイヤー矯正 調整料 |
平日5,500円 土日6,600円 |
|---|---|
| インビザライン 調整料 |
平日3,300円 土日4,400円 |
| 定期観察料 | 3,300円 |
成人矯正(ワイヤー矯正)の
症例
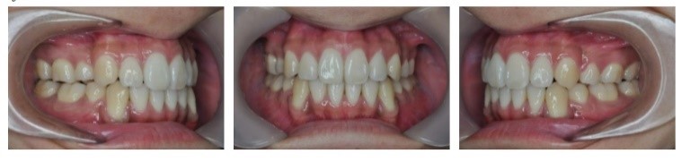
叢生
| Before | After |
|---|---|
![]() |
![]() |
| 性別 | 男性 |
|---|---|
| 年齢 | 25 |
| 症例 | 頭部X線規格写真の分析結果では、骨格的に上顎前突傾向を認め、歯列では歯並びのガタツキが認められました。 |
| 抜歯 | 上下顎の両側第1小臼歯 |
| 装置 | リンガルブラケット(舌側矯正) |
| 期間 | 2年7ヶ月 |
| 方針 | 歯列のスペース不足により叢生を生じているため、上下顎の両側第1小臼歯を抜歯して治療を行いました。 |
| リスク | すでに歯列から外れている歯の歯肉退縮が認められるため、配列中も歯肉退縮の可能性があります。 |
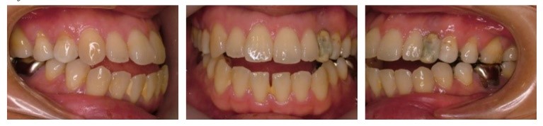
開咬
| Before | After |
|---|---|
![]() |
![]() |
| 性別 | 女性 |
|---|---|
| 年齢 | 33 |
| 症例 | 開咬 |
| 抜歯 | なし |
| 装置 | マルチブラケット |
| 期間 | 2年4ヶ月 |
| 方針 | 検査結果より骨格的な下顎前突で、咬合状態は開咬を呈していました。非抜歯でマルチブラケット装置を使用し、顎間ゴムも併用しました。 |
| リスク | 矯正治療後のリテーナーの使用を怠ったり、舌癖が改善されないと開咬が再発しやすいです。 |
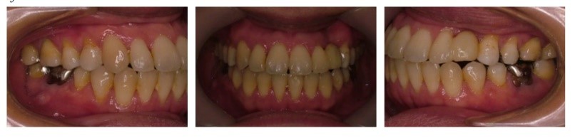
過蓋咬合
| Before | After |
|---|---|
![]() |
![]() |
| 性別 | 女性 |
|---|---|
| 年齢 | 16 |
| 症例 | 過蓋咬合 |
| 抜歯 | なし |
| 装置 | マルチブラケット |
| 期間 | 1年10ヶ月 |
| 方針 | 検査結果より骨格的なバランスは取れていましたが、上顎前歯部の唇側傾斜、及び叢生と空隙歯列を伴う過蓋咬合を呈していました。 |
| リスク | 矯正治療後のリテーナーの使用を怠ると、前歯部の前突感やスペースを生じる可能性があります。 |
また、Instagramにて症例を更新しております。






