- マウスピース矯正「インビザライン」
- 当院のインビザラインの特徴
- インビザラインのメリット
- インビザラインが得意とする動き
(歯並び) - 他院では難しいとされる以下のようなケースでも、当院ではインビザラインで対応できる可能性があります
- インビザラインで失敗しないために、患者様にご協力いただきたいこと
- インビザラインの料金
- インビザラインの症例
- インビザラインのQ&A
マウスピース矯正
「インビザライン」
マウスピース型の装置を交換していくことで歯を動かす矯正治療を「マウスピース矯正」と言います。現在、さまざまなマウスピース型の矯正装置が使用されていますが、当院ではその中でも世界No.1シェアを誇り、1999年の発売以来世界100カ国以上で実績のあるアライン・テクノロジー社の「インビザライン」を採用しています。
インビザラインは薄く透明なマウスピース型の矯正装置であり、装着してもほとんど目立ちません。また、食事・歯磨きの際に取り外せる、痛みが少ないといったうれしいメリットもあります。
当院のインビザラインの特徴
インビザライン歴20年以上の副院長による治療
当院の副院長は、矯正治療において20年以上の豊富な経験を持ち、インビザラインについても日本導入初期からいち早く採用してきました。
これまで数多くの症例を手がけ、治療に当たっていた地域では“インビザラインのパイオニア”として牽引してきました。
全国でも上位の症例数を誇るドクターが在籍
副院長はインビザライン社から「プラチナエリートドクター(年間80症例以上)」に認定されたこともあり、院長を努めてきたクリニックを含めると「ダイヤモンドドクター(年間150症例以上)」に相当する実績を誇ります。
難症例や抜歯が必要なケースにも柔軟に対応し、多くの患者様から信頼をいただいております。
インビザラインの無料相談を実施
インビザラインを検討されている方を対象に、無料相談を行っています。
マウスピース矯正は多くの方にとって初めての経験であり、治療期間も長く、費用も決して安くはありません。
当院では、治療内容を正しく理解し、ご自身に合った方法を選んでいただけるよう丁寧にご説明いたします。
もちろん、その場で治療を始める必要はございません。インビザラインが自分に合っているか知りたい方、まずは話だけ聞いてみたいという方も、どうぞお気軽にご相談ください。
最新3D光学スキャナー「iTero Lumina」を導入
当院では、インビザライン矯正の精度をさらに高めるために、次世代型3D光学スキャナー「iTero Lumina(アイテロ ルミナ)」を導入しています。従来機種と比べて高解像かつ広範囲のスキャンが可能になり、短時間でより精密な歯型データを取得できるようになりました。
スキャンにかかる時間が短縮され、快適性も向上しているため、従来の型取りに伴う不快感が大幅に軽減されています。取得したデータは、現在から治療完了までの歯の動きを3Dで視覚化し、診断や治療説明に活用します。治療の全体像を「見て理解」できることで、患者様の納得感やモチベーションの向上にもつながります。
精度の高いシミュレーションと綿密な治療計画により、安心して矯正治療を受けていただける環境を整えています。
スマホで通院サポート
「バーチャルケア」を導入
当院では、インビザライン治療中の経過観察に「バーチャルケア」を導入しています。
スマートフォンでお口の中を撮影するだけで、毎日の歯の動きをAIがチェックし、医院と情報を共有することで、来院頻度を減らしながらも、精度の高い経過管理が可能になります。
忙しい方や通院が難しい方でも、安心して治療を続けられる新しいサポート体制です。
「インビザで治したい」に
寄り添う治療方針
「どうしてもワイヤーではなく、インビザラインで治したい」――そういったご希望に、できる限り応えたいと考えています。
抜歯が必要な症例でも、対応可能なケースが増えてきており、まずは一度ご相談いただければ、適応の可否も含めて丁寧にご説明いたします。
歯並びから始まる、
全身バランスの改善
当院では、矯正治療を「見た目」だけでなく「全身の健康」を考える治療と位置づけています。歯並びや噛み合わせは、食事の咀嚼効率に直結し、胃腸への負担や腸内環境の乱れにも関与します。実際に、正しい噛み合わせによって消化吸収がスムーズになり、腸の不調や慢性的な不定愁訴が改善するケースもあります。医科と連携する当院では、矯正と内科の視点を融合し、あなたの内側からの健康をサポートします。
インビザラインのメリット
インビザラインは、以下のようなメリットのある矯正装置です。
装置が目立たない
薄く透明なマウスピース型の装置であるため、装着時もほとんど目立ちません。ワイヤー矯正と比べた場合の、もっとも大きな特長と言えます。
食事・歯磨きの際に取り外せる
インビザラインは、食事・歯磨きの際にはご自身で簡単に外せます。食べ物が装置に詰まったり、歯磨きがしづらいといったこともありませんので、快適にお過ごしいただけます。
痛み・違和感が少ない
ワイヤー矯正の場合、月に1回歯科医院でワイヤーを調節し、歯を動かします。インビザラインは、1~2週間に1回、マウスピースを交換することで歯を動かします。つまり1回あたりの移動距離がインビザラインの方が短いため、かける力も弱く、痛みが抑えられます。
治療中の虫歯・歯周病リスクを抑えられる
装置に汚れが溜まることはなく、歯も磨きやすいため、治療中に虫歯や歯周病になるリスクが抑えられます。
事前にシミュレーションで歯の動きを確認できる
iTeroを活用した3Dのシミュレーションにより、これから歯がどのように動き、どのような歯列が完成するのかをご覧いただけます。
口の中を傷つける心配がない
ワイヤー矯正の場合、粘膜や舌と装置が接触し、痛みを感じたり、傷ついたりすることがあります。薄くツルツルしているインビザラインの場合、その心配はほぼありません。
通院の頻度が少ない
小児矯正には、顎の発達、生え替わりといった不確定要素があります。一方の成人矯正では、不確定要素がほとんどないことから、変わらない環境の中で、シンプルに歯を動かす治療ができます。これにより、どのくらいの期間で治療が終わるか、どのような歯並びになるかといった見通しがつきやすくなります。
インビザラインが
得意とする動き(歯並び)
出っ歯・受け口
(軽度~中等度)
インビザラインは、傾いた歯を正しい角度に戻す動き、奥歯を後方へと移動させる動きが得意です。そのため、これに該当する軽度~中等度の出っ歯や受け口も、適応となることが多くなります。なお正式には、出っ歯のことを「上顎前突」、受け口のことを「下顎前突」と呼びます。
歯のガタガタ
(軽度~中等度)
歯が隣同士で前後に重なり、ガタガタとして見える歯並びを「叢生」と言います。インビザラインは、軽度~中等度の叢生に向いています。症例によっては、ワイヤー矯正よりも短い期間で治療を終えられます。
すきっ歯
歯と歯のあいだの隙間が広い歯並びです。「空隙歯列」と言い、この治療もインビザラインが得意とします。ワイヤー矯正よりも治療期間が短くなることも期待できます。
噛み合わせが深すぎる
上の歯が、下の歯に大きくかぶさっている歯並びです。正式には、「過蓋咬合」と言います。ワイヤー矯正と比べて、効率的な改善がしやすい歯並びと言えます。
上下の前歯が噛み合わない
奥歯を自然に噛んだ時、上の前歯と下の前歯のあいだに、縦方向の隙間がある歯並びです。「開咬」と言います。インビザラインは、奥歯を押し下げる動きを得意とするため、ワイヤー矯正より効率的な治療が可能です。
詰め物・被せ物が多いケース
ワイヤー矯正の場合、詰め物・被せ物が多いと、ブラケットが上手く設置できない・外れやすい傾向があるため、インビザラインの方が適していることが多くなります。
他院では難しいとされる
以下のようなケースでも、
当院ではインビザラインで
対応できる可能性があります
「抜歯が必要だからインビザラインはできない」と言われた方でも、当院ではインビザラインで対応できる場合があります。実際に、抜歯症例でもインビザラインによる矯正を行っているケースは多く、ご希望を踏まえたうえで治療計画をご提案します。
どうしてもワイヤーではなくインビザラインで治療したいという方は、まずは一度ご相談ください。精密な検査とシミュレーションを行い、可能性をしっかりと見極めたうえで、最適な方法をご案内いたします。
重度の出っ歯・受け口
骨格の影響があるとされる出っ歯・受け口でも、マウスピースによるコントロールが可能なケースがあります。
重度の歯並びのガタつき
(叢生)
歯を大きく動かす必要があるケースでも、治療計画を綿密に立てることで対応できる場合があります。
多数歯の抜歯が必要な症例
抜歯後のスペースコントロールも含め、インビザラインで治療を進められるケースがあります。
インビザラインで
失敗しないために、患者様に
ご協力いただきたいこと
装着時間をお守りください
インビザラインは、1日20時間以上の装着をして初めて、予定通りに歯を動かせる設計となっています。これを守ることが難しい場合は、予定通りに歯を動かせない、治療期間が大きく延びる可能性があるため、インビザラインをおすすめできません。
適切なタイミングで
交換してください
インビザラインは、1~2週間ごとに新しいものへと交換していきます。詳細なタイミングは個別にお伝えしますので、そのタイミングを見逃さないよう、お願いします。タイミングが前後すると、痛みが強くなったり、計画通りに歯を動かせないことがあります。これまで以上に丁寧に
歯磨きをしてください
ワイヤー矯正ほどではないにせよ、治療期間中は虫歯のリスクが高くなります。虫歯になると、矯正治療を中断したり、マウスピースの再作製の必要が生じることがあります。歯ブラシだけでなく、デンタルフロスまたは歯間ブラシを併用し、虫歯にならないよう十分にご注意ください。
定期的なご来院に
ご協力ください
治療期間中は、歯の動きの確認、虫歯・歯周病チェック、クリーニング、新しいマウスピースのお渡しのため、定期的にご来院いただきます。ご来院いただけない・予定より遅くなったという場合、治療に遅れが生じたり、虫歯や歯周病を発生・進行させてしまうことがありますので、ご協力をお願いします。
また、治療が終わり保定期間に入ってからも、メインテナンスや後戻りの予防のため、定期的なご来院が必要です。
インビザラインの料金
検査・診断料
| 相談料 | 無料 |
|---|---|
| 検査料 | 33,000円 |
| 診断料 | 33,000円 |
矯正費用
| 相談料 | 無料 |
|---|---|
| 部分矯正 | 165,000円~ |
| ワイヤー矯正 | 770,000円~1,430,000円 |
| インビザライン | 770,000円~1,100,000円 |
調整料
| ワイヤー矯正 調整料 |
平日5,500円 土日6,600円 |
|---|---|
| インビザライン 調整料 |
平日3,300円 土日4,400円 |
| 定期観察料 | 3,300円 |
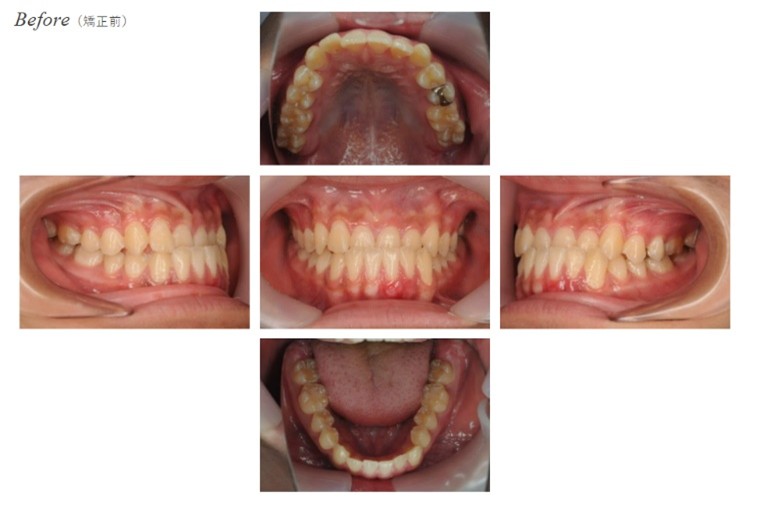
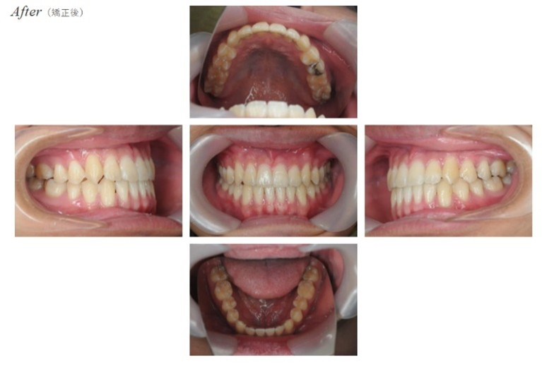
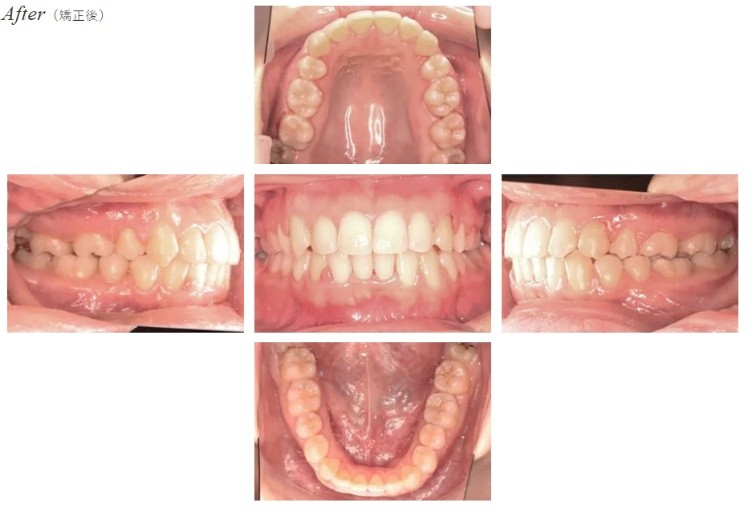
インビザラインの症例
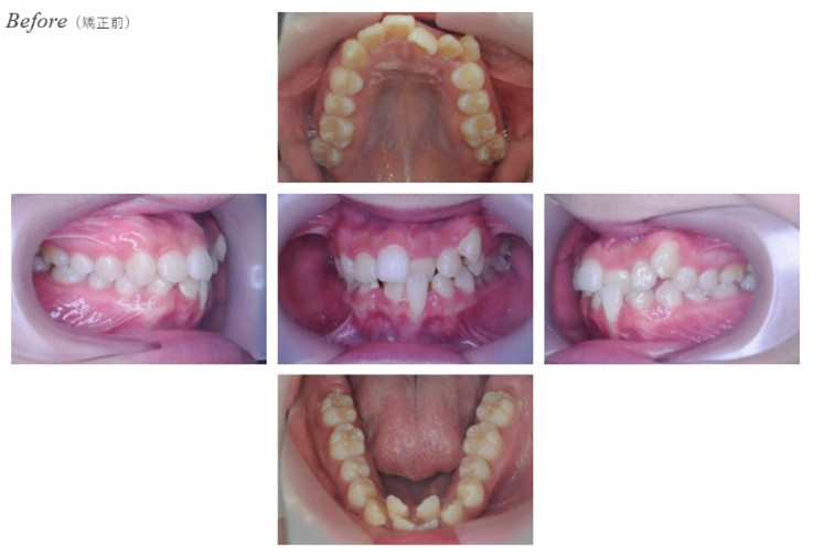
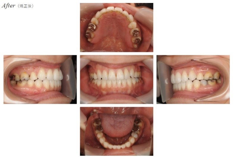
叢生
| Before | After |
|---|---|
![]() |
![]() |
| 性別 | 女性 |
|---|---|
| 年齢 | 22歳 |
| 症例 | 部分的反対咬合を伴う叢生 |
| 抜歯 | 上下顎第1小臼歯 |
| 装置 | インビザライン |
| 期間 | 3年2ヶ月 |
| 方針 | 検査結果より骨格的なバランスは取れていますが、かみ合わせにズレが有り、前歯部では部分的に反対咬合を呈していた。 歯列ではスペース不足による叢生が認められました。 |
| リスク | 保定装置も使用を怠ると叢生が再発する場合があります。 |
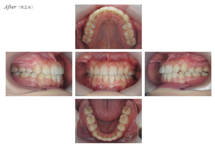
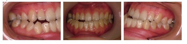
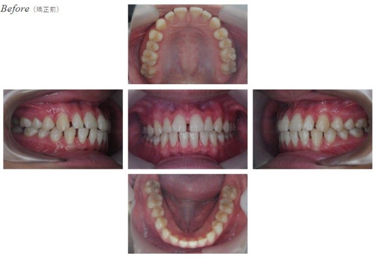
上顎前突
| Before | After |
|---|---|
![]() |
![]() |
| 性別 | 女性 |
|---|---|
| 年齢 | 15歳 |
| 症例 | 上顎前突及び叢生 |
| 抜歯 | 上顎左右の第一小臼歯 |
| 装置 | インビザライン |
| 期間 | 2年8ヶ月 |
| 方針 | 検査結果より骨格的な上顎前突で前歯部の前突感とガタツキが大きく、歯を並べるスペースが必要と診断されたため、上顎左右の第一小臼歯を抜歯して、治療を行いました。 |
| リスク | 矯正治療後のリテーナーの使用を怠ると、前歯部の前突感及びガタツキが生じる場合があります。 |
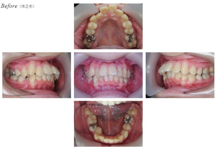
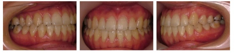
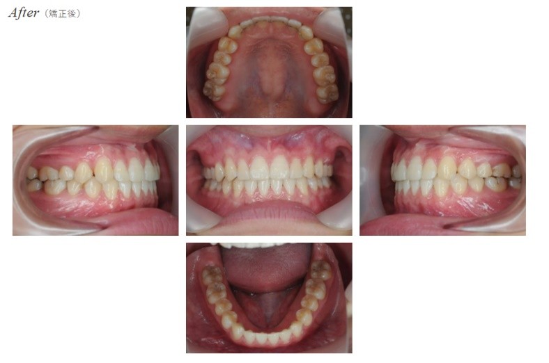
下顎前突
Case1
| Before | After |
|---|---|
![]() |
![]() |
| 性別 | 男性 |
|---|---|
| 年齢 | 13歳 |
| 症例 | 骨格的な下顎前突で、上顎が小さくスペース不足で叢生を生じています。下顎は左方に変位しています。 |
| 抜歯 | 下顎両側の親知らず |
| 装置 | インビザライン(マウスピース矯正) |
| 期間 | 2年3ヶ月 |
| 方針 | 下顎両側の親知らずを抜歯し、歯列全体を遠心移動させ、咬合の改善を行いました。 |
| リスク | 上顎が小さく歯列を拡大していますので、加齢変化や歯列が狭くなると反対咬合傾向が再発する可能性があります。 また生活習慣によって下顎の変位が悪化する場合もあります。 |
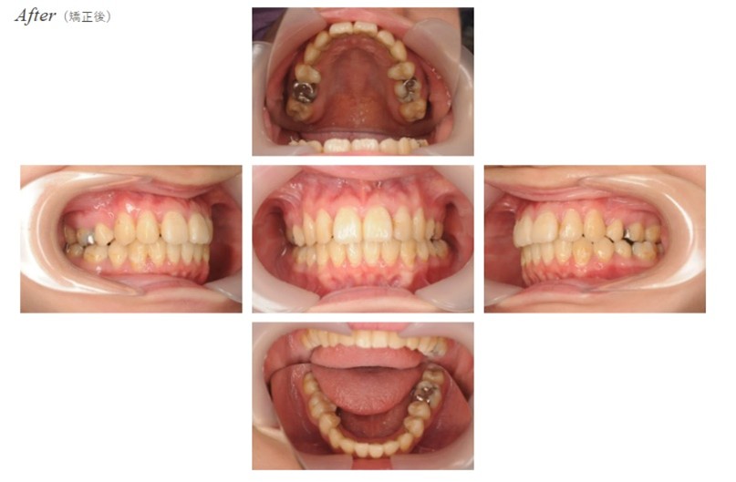
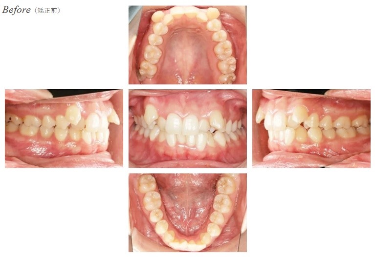
Case2
| Before | After |
|---|---|
![]() |
![]() |
| 性別 | 男性 |
|---|---|
| 年齢 | 29歳 |
| 症例 | 下顎前突 |
| 抜歯 | 下顎両側の親知らず |
| 装置 | インビザライン |
| 期間 | 2年3ヶ月 |
| 方針 | 検査結果より骨格的な下顎前突で、下顎歯列の遠心移動が必要なため、下顎両側の親知らずを抜歯して、治療を行いました。 |
| リスク | 矯正治療での移動量が大きいため、顎間ゴムの使用を怠ると、良好な咬合を得られない可能性がありました。 |
開咬
| Before | After |
|---|---|
![]() |
![]() |
| 性別 | 女性 |
|---|---|
| 年齢 | 33歳 |
| 症例 | 叢生を伴う開咬 |
| 抜歯 | 上顎両側第1小臼歯 |
| 装置 | インビザライン |
| 期間 | 3年4ヶ月 |
| 方針 | 検査結果より骨格的なバランスは取れていますが、かみ合わせにズレが有り、咬合状態は開咬を呈していました。 歯列ではスペース不足による叢生が認められました。 |
| リスク | 舌癖が認められるため、舌のトレーニングや舌の位置の改善が必要です。 また保定装置も使用を怠ると開咬が再発する場合があります。 |
過蓋咬合
| Before | After |
|---|---|
| 性別 | |
|---|---|
| 年齢 | |
| 症例 | |
| 抜歯 | |
| 装置 | |
| 期間 | |
| 方針 | |
| リスク |
空隙歯列
Case1
| Before | After |
|---|---|
![]() |
![]() |
| 性別 | 女性 |
|---|---|
| 年齢 | 17歳 |
| 症例 | 空隙歯列 |
| 抜歯 | なし |
| 装置 | インビザライン |
| 期間 | 1年11ヶ月 |
| 方針 | 検査結果より骨格的にはやや下顎前突傾向が認められ、若干の下顎の遠心移動を行いながらスペースを閉じる治療を行いました。 |
| リスク | 舌癖の影響も認められたため、矯正治療後舌癖の改善ができていないと、空隙が再発する可能性があります。 |
Case2
| Before | After |
|---|---|
![]() |
![]() |
| 性別 | 女性 |
|---|---|
| 年齢 | 14歳 |
| 症例 | 空隙歯列 |
| 抜歯 | 上顎左右の第一小臼歯 |
| 装置 | インビザライン |
| 期間 | 1年3ヶ月 |
| 方針 | 検査結果より上顎前歯のガタガタが大きく、歯を並べるスペースが必要と診断されたため、上顎左右の第一小臼歯を抜歯して、治療を行いました。 |
| リスク |
矯正治療後のリテーナーの使用を怠ると、ガタガタが再発することがあります。 歯の移動に伴い歯根が短くなるリスクがあります。 |
また、Instagramにて症例を更新しております。
インビザラインのQ&A
インビザラインとワイヤー矯正のどちらにしようか迷っています。決めてから相談した方がいいでしょうか?
迷っている段階でも、どうぞお気軽にご相談ください。当院では矯正の無料相談を行っており、カウンセリング時に丁寧にご希望を伺いながら、最適な治療方法をご提案しています。「抜歯が必要だからインビザラインはできない」「重度の出っ歯だからワイヤーしか無理」など、他院でそう言われた方でも、当院ではインビザラインで対応できるケースがあります。実際に、出っ歯・受け口(重度)、歯のガタガタ(重度)、多数歯の抜歯が必要な症例などでも、インビザラインで治療を行っている実績があります。
まずは検査とシミュレーションを通じて、インビザラインでの対応が可能かをしっかりと見極めたうえで、治療法をご案内いたします。
「どちらが自分に合っているのか知りたい」という段階でも、お気軽にご相談ください。
嘔吐反射が起こりやすいのですが、インビザラインは可能でしょうか?
はい、可能です。インビザラインは異物感が少ないため、嘔吐反射の心配はほとんどありません。また当院では、iTeroを用いた非接触での型取りを行っています。従来の、印象材を用いた辛い型取りは基本的に不要ですので、ご安心ください。
詰め物や被せ物があっても、矯正治療は可能ですか?
はい、可能です。ただ、被せ物は天然歯と比べてブラケットを設置しにくい・外れやすいため、その本数にもよりますが、インビザラインをおすすめすることがあります。詳しい検査を行ってから、患者様に合った矯正治療をご提案います。
会話やスポーツ、管楽器の演奏などに支障はありませんか?
インビザラインの治療開始直後は違和感がありますが、慣れれば会話・スポーツにおいて、まったくと言っていいほど問題ありません。アナウンサー、スポーツ選手の中にも、インビザラインをされている方がいます。管楽器の演奏についても、多少の吹きづらさはあるかと思いますが、ほとんど問題はないかと思います。ご心配なようでしたら、一度ご相談ください。














